zurück zu: herausnehmbarer Ersatz
Teleskop- oder Geschiebetechnik – festsitzender und herausnehmbarer Zahnersatz in Kombination für mehr Tragekomfort
Die moderne Zahntechnik bietet verschiedene zahnmedizinische und zahntechnische Behandlungsmethoden an, um herausnehmbaren Zahnersatz mit festsitzenden Kronen zu kombinieren. Generell kann man zwei Techniken unterscheiden: die Teleskopprothese und die Geschiebeprothese.
Mit der Teleskop- oder Geschiebetechnik kann der herausnehmbare Zahnersatz auf unsichtbare Weise an den Zähnen befestigt werden.
Besonders wenn Zähne im Frontbereich betroffen sind, empfinden viele Menschen dies als erheblich störend. Sowohl die Teleskop- als auch die Geschiebetechnik verankern eine Prothese unsichtbar und fest an überkronten Zähnen. Diese Prothesen verbleiben rund um die Uhr im Mund. Lediglich zur Reinigung morgens und abends werden sie herausgenommen. Bei guter Pflege sehen diese Lösungen sehr natürlich aus.
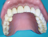
Die Teleskopprothese besteht aus zwei Kronen, der Primärkrone und der Sekundärkrone,
die absolut präzise aufeinander passen. Die Primärkrone wird fest auf einen vorher beschliffenen Zahn zementiert. Die Sekundärkrone wird in dem herausnehmbaren Zahnersatz integriert und befestigt diesen an der Primärkrone, indem sie einfach auf diese aufgesteckt wird. Durch die absolut perfekte Passform wird der herausnehmbare Prothesenteil fest verankert und kann auch beim Kauen von härteren Nahrungsmitteln nicht verrutschen. Durch die Überkronung wird der Druck gleichmäßig auf die Pfeilerzähne verteilt, die die Prothese tragen. Dadurch werden die Pfeilerzähne geschont und nicht übermäßig belastet. Eine Teleskopprothese kann sehr einfach erweitert werden, wenn weitere Zähne betroffen sind.

v.l.: Primärkronen im Mund, Teleskopprothese mit Sekundärkronen, Teleskopprothese im Mund
Pluspunkte
- rastet auf den überkronten Zähnen fest ein
- ästhetisch sehr gute Resultate möglich
- gutes Beißgefühl
- kann erweitert werden
Negativpunkte
- Zähne müssen beschliffen werden
Bei der Geschiebeprothese greifen zwei feinmechanische Elemente fest ineinander.
Auch die Geschiebeprothese ist eine Kombination aus herausnehmbarem und festsitzendem Zahnersatz. Mit präzise aufeinander angepassten Verbindungselementen wird der herausnehmbare Teil auf das passende Gegenstück an einer Krone oder einer Brücke geschoben und so fixiert. Auch bei der Geschiebetechnik ist die Verteilung der Belastung ausgeglichen und sie kann in den meisten Fällen erweitert werden.

v.l.: Matrize am festsitzenden Teil, Matrize am herausnehmbaren Teil, Patrize ist in der Matrize eingerastet
Pluspunkte
- rastet auf den überkronten Zähnen fest ein
- ästhetisch sehr gute Resultate möglich
- gutes Beißgefühl
- kann in vielen Fällen erweitert werden
Negativpunkte
- Zähne müssen beschliffen werden

